1506 E. Franklin St. Suite 200
Chapel Hill, NC 27514
New Patients: (919) 551-8847
Current Patients: (919) 442-1670

Bonding

1920

This smile was refreshed using bonding.

Dental Crown

1211

Dr. Hewgley restored this smile with a crown on #9.

Crowns & Partials

1314

This patient underwent a full smile transformation using dental crowns and partial dentures. 

Crowns, Whitening, & Bonding

1817

The patient received teeth whitening, three crowns, a dental bridge, and bonding in order to improve the appearance and function of their smile.

Crowns

1516

This smile was totally transformed by Dr. Hewgley using crowns on teeth 6-11.

Whitening

109

Dr. Hewgley revitalized this patient’s smile with whitening and ICON resin infiltration to remove white spots. 

Crowns

87

Dr. Hewgley was able to transform this smile with crowns on 8 and 9. The results are bright and beautiful!

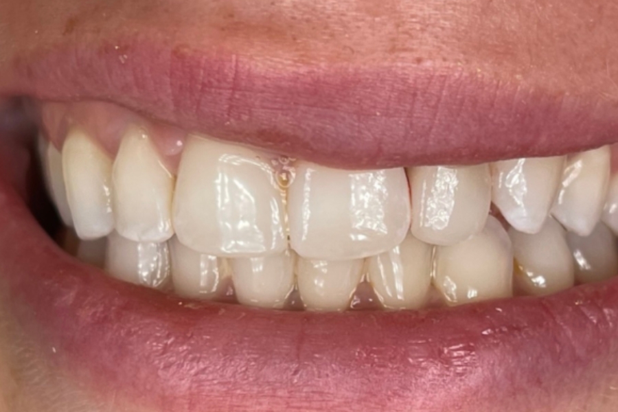
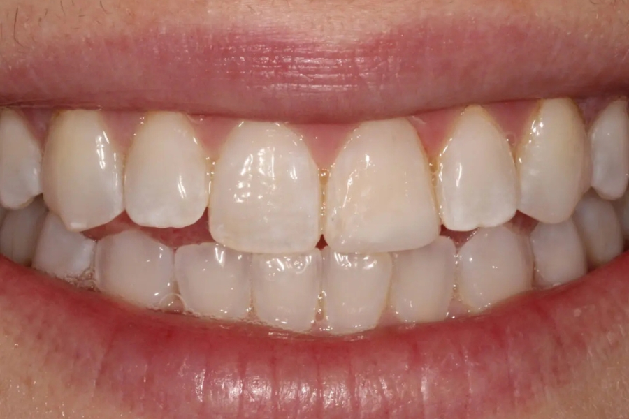
Discolored bonding replaced

65

This patient’s discolored bonding was affecting their smile. Dr. Hewgley replaced that bonding with a crown, creating a completely revived appearance.

Crowns

43

Dr. Hewgley refreshed this smile using crowns.

Discolored bonding replaced

12

Dr. Hewgley transformed this patient’s smile with crowns.